Top Rated Prosthodontist in Altamonte Springs and Mount Dora, FL
Dr. Scott Schmitt is a skilled prosthodontist in Altamonte Springs and Mount Dora, FL, dedicated to providing his patients with dental care that not only meets functional needs but gives you a smile you can be proud to show off. Dr. Schmitt's philosophy is that dentistry is both an art and a science.
Our entire staff is dedicated to providing you with honest and ethical treatment that addresses your health concerns while also exceeding your expectations of dental care. From our relaxing decor to our individualized approach to treatment, we'll make every effort to help you feel comfortable and attended to during your visit.
Our Mission
With heartfelt compassion and unwavering generosity, we devote ourselves to changing lives by sharing love through honest communication and thoughtful, ethical dental care. Our faith in this righteous intention inspires us to serve others and compels us to flourish and prosper.
- C. Scott Schmitt, DMD MS and Team
What We Do
Recent Reviews
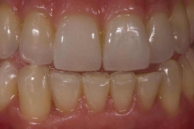
Smile Gallery
Partial Denture
Changing someone’s life doesn’t have to be complicated. A partial denture thoughtfully made and delivered with care (which we like to call “love”).
Dental Implants & Crowns 1
Jitten had experienced years of breakdown on both his upper and lower teeth. The upper teeth could be saved, and were restored using crowns. The lower teeth had to be removed and replaced with a fixed implant bridge.
The Heart of Who We Are at Schmitt Prosthodontics
Hello, friends and colleagues. My name is Dr. Scott Schmitt, and I wanted to say a few words today about the office in general, the experience, and what we do and why we do it. I've spoken in past videos and mentioned before how I feel that prosthodontics is both an art and a science. It's about fitting crowns and making dentures, and we go through procedures to get that done.
At the same time, it's a very artistic process. It's a very creative process. I truly value both whenever we are trying to make teeth or help people, and those things say a lot about what we do and how we do it. We certainly try to practice at a very high level when it comes to the art and the science of prosthodontics.
Giving Back to Our Community
At Schmitt Prosthodontics, we believe in making a difference beyond smiles! Our team is proud to give back by supporting local initiatives that promote health and well-being. We love bringing people together and contributing to a greener, healthier community. Giving back is at the heart of what we do, and we’re always looking for new ways to support and uplift those around us.