Dental Implants 3
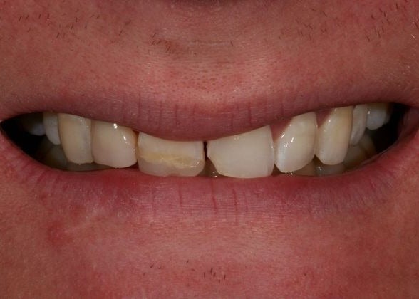
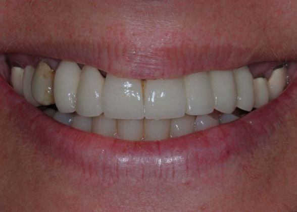
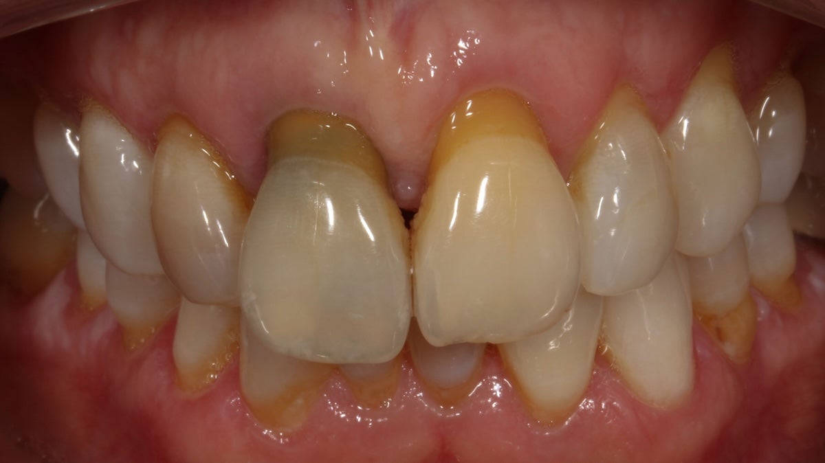
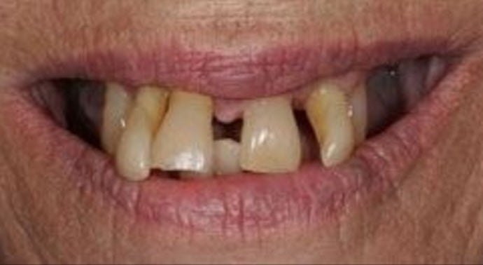
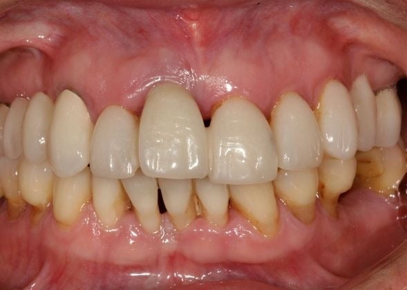
Lisa had been through many dental restorations in her life. Her bridges were becoming loose and painful, and her treatment involved a full arch implant bridge on the top and bottom. This care is about as close as we can come to giving her back a natural smile that looks and functions like her real teeth.