Are tooth decay, damaged teeth, or missing teeth taking a toll on your oral health? It can be hard to know where to turn for help. Dr. Scott Schmitt is a trained prosthodontist who specializes in restorative dentistry. He offers treatments for a wide range of issues. From custom crowns to full mouth reconstruction, our dental practice in Altamonte Springs and Mount Dora, FL, can handle it all. Ready to begin?
Se Habla Español
We have dental staff members who are fluent in both English and Spanish. Get in touch to speak about your restorative options in your preferred language.
Restorative Dentistry vs. Cosmetic Dentistry: What's the Difference?
Restorative Dentistry
Restorative dentistry is dental care that focuses on improving the health and function of the teeth, gums, and oral structures. Patients in need of restorative treatment often experience issues like structural dental damage, tooth decay, and tooth loss. Common procedures include tooth-colored fillings, custom restorations, and dental implants.
Cosmetic Dentistry
Cosmetic dentistry is dental care that focuses on improving the appearance of your smile. Patients seeking cosmetic care often experience issues like minor chips and cracks, tooth discoloration, uneven gumlines, and misshapen teeth. Common cosmetic procedures include teeth whitening, gum contouring, and porcelain dental veneers.
What is the difference between restorative and cosmetic dentistry at Schmitt Prosthodontics?
In my practice, the difference is nothing. The reason for that is if we restore a tooth, we should have cosmetics or aesthetics in mind. As a prosthodontist, I take a very comprehensive view of the mouth, and all of my dentistry should fulfill three main requirements: it has to restore the tooth to health, it has to be functional, and it should be cosmetic. My ultimate goal with all the dentistry I do is that you can't tell you've had any dentistry done. The biggest compliment I could get on my dental work is if someone saw my patient and said, "Wow, that person has a beautiful smile. They must just be one of the lucky ones," as if they were born with it. I would love for the dentistry to blend in and look like it was always there.
We Can Fix These Common Dental Issues with Restorative Dentistry
Our dentist in Altamonte Springs and Mount Dora frequently helps patients who are dealing with all-too-common concerns like these:
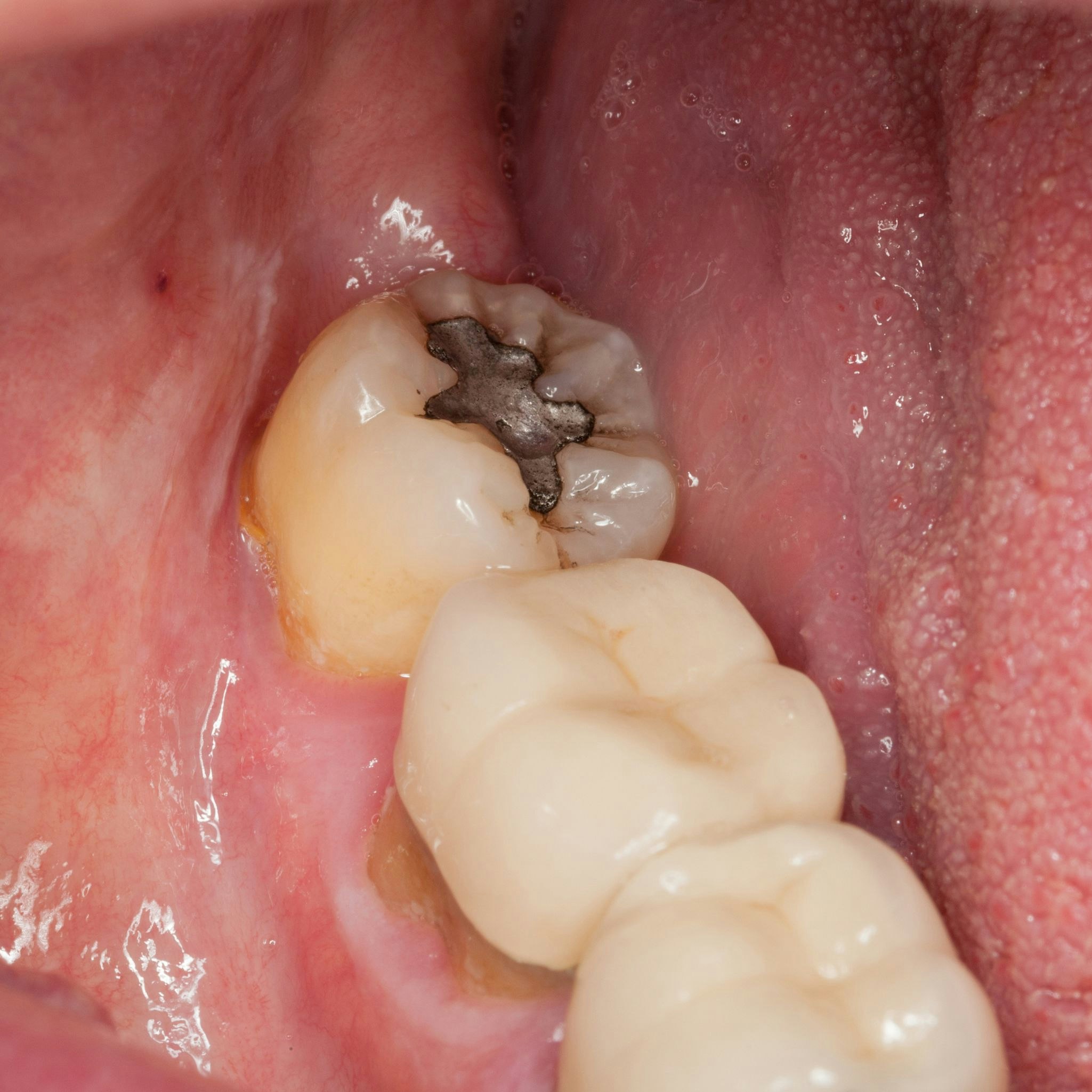
- Decayed Teeth: Untreated dental decay can lead to a variety of complications, including intense pain, gum disease, and root canal infections. Addressing decay during the early stages can save you time, money, and discomfort down the line.
- Damaged Teeth: Broken teeth need to be treated promptly. In addition to causing pain, dental damage can develop into deep infections and even tooth loss. Restoring compromised teeth will reduce your risk of further issues.
- Missing Teeth: Missing teeth can completely change the way you eat, speak, and smile. In some cases, they can also result in jawbone atrophy and further tooth loss. Replacing lost teeth can preserve your bite, your smile, and your health.
There are many conditions that could require restorative dentistry. It could be something as simple as the discoloration of a tooth, a cavity, trauma, or normal wear and tear. Restorative dentistry is anything that would restore a tooth functionally or cosmetically back to the way it hopefully originally was.
Is anesthesia or sedation used during restorative dentistry procedures?
The answer is absolutely, when necessary. There are probably a small number of cosmetic procedures, like some topical bonding, that might not require anesthesia, but I would say that the vast majority of restorative procedures use local anesthetic. This anesthetic can be given in a very gentle and appropriate manner so that you're comfortable throughout the procedure. In our office, we don't double book or rush. We take our time to ensure the patient is comfortable and spend the time needed to get the desired result. It's based on doing what's right for the patient in the end.
What are the benefits of restorative dentistry?
The benefits of restorative dentistry could be many. The simplest one is that we are helping to fix the tooth, hopefully stopping some kind of disease process or improving function. The benefits should be long-term health, getting you out of any pain or discomfort so that things can be comfortable, and allowing you to eat properly. It might expand your diet significantly. There is no question that I've had many patients who were most excited about getting back to eating their favorite foods. A change in diet could be a benefit of restorative dentistry.
Lastly, the highly intangible benefits include confidence and self-esteem, being comfortable with yourself, and being willing to smile big and laugh with friends and family.
Are there risks associated with restorative dentistry?
The answer is, of course, there are risks involved with just about any medical or dental procedure. Most of these risks are relatively small and don't happen very often, but there are risks. There are risks of having a reaction to anesthetic, although most of the time we know that before we start.
There are risks that teeth or restorative dentistry could break. Patients can break anything a dentist can put in their mouth. Even if our materials are very strong and have been improved over the years, a patient can break anything if they want to. If the procedure involves drilling on a tooth, there's the risk of upsetting the nerve, potentially leading to a root canal. Changing the bite can impact the periodontium of the teeth.
There's a risk that cosmetically it might not turn out the way you wanted. The bottom line is yes, there are risks to restorative dentistry. A conscientious provider will hopefully let you know which ones are most concerning for you, and you should always ask questions about what the procedures are, how they will be done, and what to expect in the end. A good dentist should be comfortable discussing these issues honestly.
How long does it take to recover from restorative dental procedures?
For most cases, very little time at all, but it does vary per patient and what is done. I would say that the vast majority of people we work with have a very short healing or recovery time. Almost no one takes any significant time off work or from their normal schedule unless they've had some kind of major surgery. We do coordinate with oral surgeons regularly, so there could be downtime for surgical procedures, but restorative dentistry itself is usually limited in scope, so the recovery time is quite small.
What is the success rate of restorative dental procedures?
Restorative dental procedures are the bread and butter of many dentists. I would say that the success rate is high. It really depends on how you define success. As a prosthodontist, I have very high expectations and a fine evaluative eye for success.
When I do a procedure, I want it to succeed in many ways. I want it to be comfortable, healthy, cleansable, functional for eating, and look fantastic. If I don't achieve all of those goals, then I don't consider myself successful. Hopefully, this means that my success for my patients is at a high level.
Why Work With Dr. Schmitt?
A Local Dentist
Dr. Scott Schmitt was raised in Longwood, just up the road from Altamonte Springs. As a proud native of the Orlando, FL, area, he knew he wanted to spend his dental career serving the needs of his local community.
In 2005, he joined our Altamonte Springs practice, where he personally meets with each patient and dedicates one-on-one time to their care. Dr. Schmitt loves helping his local patients experience better oral health and greater confidence through his dental work.
With a Track Record of Success

In 1996, Dr. Schmitt graduated from the University of Kentucky College of Dentistry as the top student in his class. He's remained dedicated to pursing excellence in dentistry ever since.
Our dentist received the award for Highest Academic Achievement from the American College of Prosthodontists and has been voted a Top Prosthodontist in Orlando on multiple occasions. He is a member of many prestigious dental organizations, including the International Team for Implantology (ITI) and the American College of Prosthodontists.
And Specialized Expertise
Dr. Schmitt is more than a general dentist—he is a prosthodontist. This means that he completed three additional years of intensive education in restorative care after receiving his degree in dentistry.
Dr. Schmitt's advanced training gives him the ability to handle everything from simple to highly complex cases. He takes pride in optimizing function and aesthetics in each of his treatments. Out of the many dentists in the Orlando area, Dr. Schmitt is especially well-suited to help you with your needs.
Take a Look at Our Dentist's Results
Dr. Schmitt has spent his career helping patients like you achieve incredible transformations. Just see what he was able to do in this case:

This patient came to us with severe dental wear, damage, and misalignment. His oral health had deteriorated to the point where replacing his teeth was the best option to restore his smile.

Dr. Schmitt carefully designed a series of custom implant-supported restorations with an emphasis on natural-looking results. This patient can now eat and speak normally and smile confidently.
Are you interested in results like these? Whether your concerns are simpler or even more complex than this patient's, rest assured that Dr. Schmitt has the skill and experience to help you. He can design a personalized treatment plan that leaves you smiling wider than ever before. To get started, request a consultation at our offices in Altamonte Springs, FL, or Mount Dora, FL. You can contact us online or call us at:
Our Featured Restorative Services
Dental Implants
Implants replace the roots of missing teeth after tooth loss. Once they fuse with the jawbone, they can support lifelike restorations. Dr. Schmitt works with a trusted implantologist in the Altamonte Springs area for implant placement. Keeping the needs and goals of his patients in mind, he designs the implant-supported crowns, bridges, or dentures himself. They are then crafted by a master ceramist.
Dental Bridges
A dental bridge is a restoration that can replace up to four consecutive missing teeth. You can receive either a traditional bridge or an implant-supported bridge, depending on your needs and preferences.
Dentures
If you are missing most or all of your natural teeth, a new denture is likely the best option for you. Dr. Schmitt can design both traditional dentures and implant-supported dentures.
Inlays and Onlays
When a simple filling isn't enough to restore a tooth after treatment for decay, inlays and onlays can help. These restorations cover a greater part of the crown surface to improve your bite and protect against future cavities. We use tooth-colored materials for the most seamless results.
Request Information on Inlays and Onlays
Full Mouth Reconstruction
Need to address multiple oral health issues at once? Consider full mouth reconstruction, a custom treatment plan that addresses your unique needs in a streamlined manner. Your plan may include decay treatment, implants, a custom bridge, and more. If you want to fix cosmetic concerns as well, we can include porcelain veneers in your plan.
Explore Full Mouth Reconstruction
Financing for Restorative Dentistry
We're also glad to accept financing to help patients who are uninsured or managing high out-of-pocket costs. Read more on the Financing options we accept on our Financing page.
At Schmitt Prosthodontics, you come first. Whether you need dental care or simply have questions, call us at (407) 478-4960 or email [email protected] to schedule your visit. Our team is here to help you every step of the way.