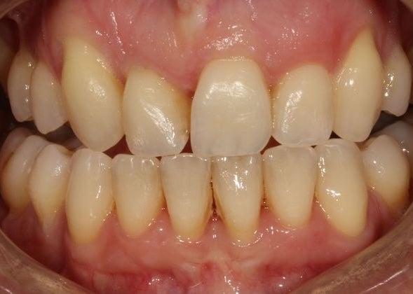
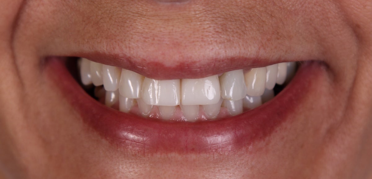
Kim had damaged her front teeth in an accident. Porcelain veneers offered a conservative solution to provide a long lasting restoration that looks natural and will be strong.