Edith had worn dentures for more than 30 years. We talked through exactly what she wanted to revive her smile, and her comfort.
Thomas had given up on his old set of dentures. Giving him an upper denture and lower partial got him back to enjoying the food he loves.
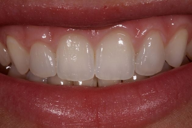
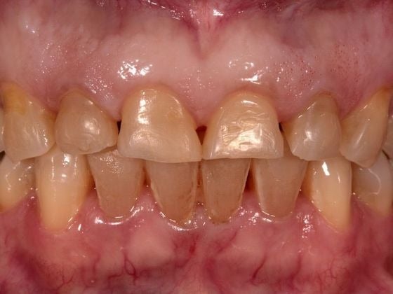
Brenda did not look that way her front teeth looked. These are actually just the temporary crowns that she wore while the final ones were made!!